Parodontologia Estrema
Questo paragrafo rappresenta un approfondimento della sezione Parodontologia/Problemi Gengivali

Scopo del parodontologo è quello aiutare il paziente a raggiungere la salute gengivale e a mantenerla nel tempo.
Il raggiungimento della salute gengivale può essere un obiettivo semplice da raggiungere in pazienti affetti da malattia parodontale di moderata o media entità, con i dovuti trattamenti ed un'igiene domiciliare accurata.
Diversamente può essere difficile stabilizzare una malattia parodontale aggressiva in fase avanzata. In questi casi Il trattamento conserva la sua utilità e consente di allungare, anche notevolmente, la vita dei denti.
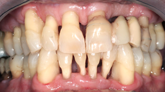
Nella foto sopra pubblicata sono rappresentati alcuni casi di malattie parodontali gravi che, con i trattamenti adeguati si è riusciti a stabilizzare nel tempo, arrestando la perdita di osso intorno ai denti e mantenendo buona parte dei denti presenti a inizio trattamento. Sono frutto di un corretto trattamento, una eccellente igiene orale del paziente, ed una frequenza elevata delle visite di controllo (trimestrali). Questi casi dimostrano l'efficacia nel tempo di un trattamento corretto anche in caso di parodontopatie gravissime.
PERSONALE
PER I PAZIENTI
Mantenere la Salute Dentale
Malattie Gengivali/Parodontali
APPROFONDIMENTI
Rigenerazione Ossea in Implantologia
2001
2012
Paziente con gravissima malattia parodontale stabilizzzata. A distanza di 11 anni i livelli ossei e gengivali si mantengono pressochè immutati. Merito del trattamento, dei controlli trimestrali e di una scrupolosissima igiene domiciliare.
