Ponti su Intarsi

Il ponte su intarsi è una protesi a ponte, cioè una protesi non rimovibile che viene fissata ai denti adiacenti, opportunamente ridotti.
Diversamente dalla protesi a ponte tradizionale, che prevede una importante riduzione dei denti pilastro, Il ponte su intarsi richiede una minima preparazione/limatura dei denti di appoggio. Spesso è sufficiente rimuovere le vecchie otturazioni per ottenere lo spazio sufficiente per l'ancoraggio.
Il vantaggio di questo approccio risiede nella minima invasività sui denti pilastro. La riduzione del dente è minima, cosicchè buona parte dello smalto è conservato. Questo è molto importante se si considera che i denti ridotti e ricoperti per sostenere un ponte hanno nel tempo più alte probabilità di maturare problemi rispetto ai denti sani.
L'indicazione all'esecuzione di una protesi a ponte è il paziente che non possa o non voglia sottoporsi all'implantologia per la sostituzione di uno o più denti mancanti, ma desideri ridurre al minimo l'intervento sui suoi denti sani.
Lo svantaggio rispetto ad un ponte tradizionale risiede nella presenza di metallo esposto in alcune aree dei denti pilastro, che comunque vengono collocati in modo da non interferire con l'estetica del sorriso.
Abbiamo visto nella sezione deile protesi a ponte come tale protesi possa essere duratura e




La paziente, 35 anni, richiede la sostituzione dei denti mancanti, ma rifiuta categoricamente l'idea di sottoporsi alla chirurgia implantologica. La scelta ricade sulla protesi a ponte, ma la ragazza desidera che i denti che sostegono il ponte vengano ridotti il meno possibile. Si opta per un ponte su intarsi, con minima asportazione del tessuto dentale sano. Dai denti-pilastro sono state rimosse solamente le vecchie otturazioni.


Paziente sessantenne richiede sostituzione di premolare e molare superiore di destra. A causa della grave atrofia ossea la terapia implantare richiederebbe complessa chirurgia ricostruttiva dell'osso, che il paziente rifiuta. Si opta per l'esecuzione di un ponte su intarsi, con preparazioni minime dei denti pilastro.




Giovane paziente richiede sostituzione del molare mancante. I denti adiacenti, ampiamente ricostruiti, vengono ridotti secondo la tecnica tradizionale. Un ulteriore ancoraggio viene realizzato sul primo premolare con un intarsio mini-invasivo (in questo caso l'intarsio è stato rivestito di ceramica).




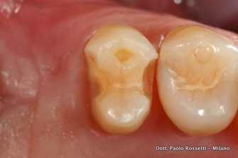
Paziente sessantenne richiede la sostituzione del primo molare superiore. Il secondo molare è già ridotto a causa di una preesistente corona protesica. L'ancoraggio sul premolare (foto dettaglio) è ottenuto rimuovendo una vecchia otturazione e producendo un piccolo box (scasso) addizionale sul dente.
PERSONALE
PER I PAZIENTI
Mantenere la Salute Dentale
Malattie Gengivali/Parodontali
APPROFONDIMENTI
Rigenerazione Ossea in Implantologia
