Malattie Gengivali e Parodontali
Esempio di gengive in ottime condizioni di salute in giovane paziente.
La parodontologia è quella branca dell'odontoiatria che si occupa della prevenzione e della cura delle malattie gengivali.
La forma iniziale e più facilmente curabile di malattia gengivale è la gengivite. Si tratta dell'infiammazione cronica del margine gengivale che circonda i denti. La gengiva si presenta arrossata, può sanguinare facilmente se riceve lievi stimolazioni meccaniche (spazzolamento o utilizzo di filo interdentale), spesso asintomatica, occasionalmente leggermente dolente. La rimozione della placca(deposito molle) e del tartaro(deposito duro) dalla superficie dei denti, seguito da una scrupolosa igiene dentale domiciliare da parte del paziente, risolve normalmente la patologia in un paio di settimane. Da non sottovalutare perchè, se trascurata, può evolvere nella ben più temibile malattia parodontale/parodontite.
Sinistra: intense gengiviti associate a deposito di placca e tartaro. Destra: a distanza di 10 giorni dall'igiene professionale le gengive sono in avanzata fase di guarigione. I pazienti sono stati istruiti ad una corretta igiene dentale (uso dello spazzolino e del filo interdentale).
Tartaro accumulato dietro gli incisivi inferiori. La presenza del tartaro favorisce l'infiammazione delle gengive (gengivite) e, alla lunga, lo sviluppo della parodontite. Per mantenere la salute gengivale il tartaro deve essere rimosso periodicamente.
Nota: il tartaro è un deposito duro, di consistenza calcare. Non può essere rimosso dal paziente. Viene rimosso durante la seduta di igiene professionale dal dentista.
La malattia parodontale (parodontite/parodontosi/un tempo definita anche come piorrea)rappresenta l'evoluzione di una gengivite non trattata. L'infiammazione causata dall’accumulo di placca e tartaro, che nella gengivite è limitata al solo margine gengivale, nella parodontite si estende in profondità andando a colpire l'osso che circonda e sostiene le radici dei denti, inducendone un lento e progressivo riassorbimento, fino alla perdita del dente (che può richiedere comunque molti anni).
Spesso i pazienti sono portati a trascurare la parodontite, perchè i sintomi sono presenti solo nelle fasi avanzate della malattia.
Nelle forme avanzate sono evidenti importanti arretramenti del margine gengivale ed esposizione delle radici dei denti, possono svilupparsi ascessi gengivali ed alcuni denti essere mobili. Il fumo di sigaretta favorisce l'insorgenta della parodontite e ne aggrava il decorso.
Severe forme di malattia parodontale stabilizzata: l'arretramento delle gengive riflette la perdita di volume dell'osso sottostante. L'osso che circonda e sostiene le radici dei denti.
Terapia delle parodontiti
Nelle forme meno aggressive (la maggior parte dei casi) un'accurata rimozione del tartaro, un'adeguata igiene domiciliare da parte del paziente e visite periodiche di controllo (ogni 3/6 mesi) possono essere sufficienti per arrestare la progressione della malattia (una ulteriore perdita di osso), rendendo possibile il mantenimento dei denti per un tempo indefinito.
Le forme più aggressive, pur traendo indubbi benefici dalla terapia, tendono nel tempo a recidivare. Può risultare difficile arrestare completamente la perdita di osso ma una corretta terapia e un elevato livello di igiene orale domiciliare del paziente possono rallentarne il decorso, allungando così la vita dei denti.
Le parodontiti sono malattie a lenta progressione (croniche) che necessitano di anni per produrre danni severi. Non danno sintomi importanti (se non nelle fasi avanzate) per cui spesso vengono sottovalutate dai pazienti.
Il trattamento di qualsiasi malattia parodontale si basa su: rimozione accurata del tartaro (se necessario anche sotto anestesia), Instaurazione da parte del paziente di una igiene ottimale, visite di controllo periodiche per intercettare eventuali tendenze alla recidiva, eventualmente qualche piccolo intervento di chirurgia gengivale atto alla eliminazione o riduzione delle tasche parodontali (che sono una delle manifestazioni patologiche tipiche della malattia parodontale). Link tasca parodontale
Inserire qualche radiografia che dimostra la perdita ossea.
Gli impianti dentali possono soffrire di una malattia molto simile alla parodontite che si chiama periimplantite. Risulta indispensabile per la durata nel tempo degli impianti e delle protesi da essi sostenute, che il paziente affetto da malattia parodontale venga trattato prima che venga sottoposto a terapia implantologica. In caso contrario i rischi che ....
PERSONALE
PER I PAZIENTI
Mantenere la Salute Dentale
Malattie Gengivali/Parodontali
APPROFONDIMENTI
Rigenerazione Ossea in Implantologia
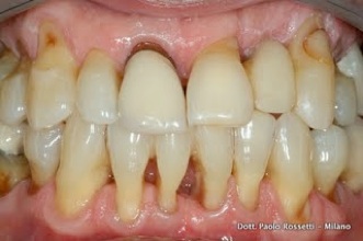
Concrezioni di tartaro intorno ai denti in parodontite di media-moderata entità.
DENTE SANO
GENGIVITE
PARODONTITE
GENGIVITE:
Infiammazione del margine gengivale senza perdita di osso
PARODONTITE:
infiammazione con perdita di osso di sostegno
PARODONTITE
SEVERA
PARODONTITE TERMINALE
PARODONTITE
MEDIA-MODERATA
